Maintenance window scheduled to begin at February 14th 2200 est. until 0400 est. February 15th

(e.g. yourname@email.com)

Forgot Password?

    Defense Visual Information Distribution Service Logo
    Tag: GANGLIOGLIOMA
    Type: image
    • Un-explained Weight Gain

      Photo by Spc. Tyler Brock   |   4th Infantry Division Public Affairs Office   |   08.10.2022

      Troy Brock, 8, weighs himself in his parents bathroom Aug. 10, 2022, in Fountain, Colorado. Samantha, Troy's mother, wrote in a post after speaking with health experts, "there has been enough research now that has shown that some children on this medication (targeted therapy) have been known to gain weight. Troy is apparently one of those children that are affected in this way." (Courtesy......

    • Progress

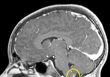
      Photo by Spc. Tyler Brock   |   4th Infantry Division Public Affairs Office   |   10.25.2021

      Troy Brock’s, 8, MRI’s are composites showing the progress of his Ganglioglioma after 6 months of Targeted therapy treatment from October 25, 2021 to May 3, 2022. It is important to note that among the shrinking tumor it can be seen that less of the cancer cells absorb the contrasting dye indicating that the cancer cells are dying off, according to Troy's Neuro Oncologist. (Courtesy photos......

    • Starting the Day

      Photo by Spc. Tyler Brock   |   4th Infantry Division Public Affairs Office   |   10.18.2021

      Troy Brock, 8, sits at the table with his mom, Samantha Brock, as she prepares his medication Oct. 18, 2021, in Fountain, Colorado. Troy's eating habits had to change, requiring him to fast before and after taking his medication twice a day. (Courtesy photo by Spc. Tyler Brock)...

    • Skin Protection

      Photo by Spc. Tyler Brock   |   4th Infantry Division Public Affairs Office   |   10.18.2021

      Troy Brock, 8, puts on his sunscreen as part of his daily routine before leaving for school Oct. 18, 2021, in Fountain, Colorado. His new morning routine is to combat the possibility of a secondary cancer (skin cancer). (Courtesy photo by Spc. Tyler Brock)...

    • First day of Cancer Treatment

      Photo by Spc. Tyler Brock   |   4th Infantry Division Public Affairs Office   |   10.17.2021

      Troy Brock, 8, begins his first dose of targeted therapy, because of the tumor, his mother, Samantha Brock has to dissolve the capsules in Kool-Aid Lemonade at their home in Fountain, Colorado, Oct. 17, 2021. Samantha (mother) had to suit up with gloves, face mask, and goggles to ensure she didn’t get medication on her. (Courtesy photo by Spc. Tyler Brock)...

    • One Step at a Time

      Photo by Spc. Tyler Brock   |   4th Infantry Division Public Affairs Office   |   09.20.2021

      Spc. Tyler Brock, an army cavalry scout assigned to 2nd Squadron, 1st Cavalry Regiment, 1st Stryker Brigade Combat Team, 4th Infantry Division, walks with his eight year old son, Troy, through the hallway of the Children's Hospital Colorado in Aurora, Colorado on Sept. 21, 2021. Even after having brain surgery the day prior, Troy showed tremendous strides in his recovery and, just like any 8......

    • A Comforting Mother

      Photo by Spc. Tyler Brock   |   4th Infantry Division Public Affairs Office   |   09.20.2021

      Confused and tired Troy Brock, 8, tries to get some rest after his biopsy surgery while his mother, Samantha Brock comforts him and assures him that he will be okay on Sept. 20, 2021 at Children's Hospital Colorado in Aurora, Colorado. It was determined that biopsy surgery was the best plan of action due to the fact that the tumor had grown and intertwined into his brainstem and removing it......

    • The Brock Family

      Photo by Spc. Tyler Brock   |   4th Infantry Division Public Affairs Office   |   09.26.2020

      Spc. Tyler Brock, an army cavalry scout assigned to 2nd Squadron, 1st Cavalry Regiment, 1st Stryker Brigade Combat Team, 4th Infantry Division, and his family pose in Rocky Mountain National Park, Colorado, for their family portrait Sept. 26, 2020. The family loves to go to the park and hike while also watching the Elk during bugle season. (Courtesy photo by Spc. Tyler Brock)...